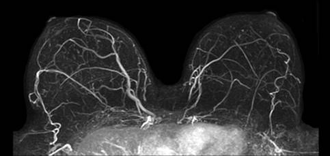
Yesterday, I finally had that MRI I’ve been waiting on for what feels like forever, but was just a couple weeks. I’d had a CT scan before (the one where you have to drink horrifying chalky liquid flavored to resemble Hell’s pina colada), but this was my first MRI. Quick note: MRI stands for Magnetic Resonance Imaging and uses a powerful magnetic field, radio frequency pulses and a computer to produce detailed pictures of your insides. In my case, my breasts. The purpose of this test was to see if there was anything hinky going on in my boobs that the mammogram didn’t pick up. Specifically, we were on the lookout for naughty lymph nodes. If Turdy the Tumor wants to conquer new ground, he’ll go for the lymph nodes first.
Here’s how it went down. First, I am claustrophobic. Not like diagnosed by a mental health practitioner or taking meds for it claustrophobic, but the breaks out in a cold sweat and feels pukey whilst in a tunnel claustrophobic. I skipped climbing to the top of Arc de Triomphe for this reason. Anyway, the nice lady who scheduled my MRI suggested I hit up my primary care doc for a mild sedative. So, armed with a Xanax, I showed up for my MRI. I changed into a gown and scrub pants. The assistant put in an IV and gave me earplugs and a choice of tunes for the headphones: Classical, Jazz, or Easy Listening. Suspicious that the jazz would fall into the unacceptable easy jazz or, as I call it “no-balls jazz” category, I went for Classical.
I lay face-down on the tray-thingie with my boobs dangling down into a hole and my face in a donut-ish pad. I made a joke to the tech that the picture probably would have been better three kids ago. She laughed, but she couldn’t be much older than 21. She’ll learn.
So then I slid into the tube. Since I was face-down and had my eyes closed, it didn’t feel like I was in a metal tube, so my claustrophobia didn’t rear up. I knew that there would be a noisy THUNK THUNK THUNK sound (hence the earplugs and headphones) but what I wasn’t prepared for was the WAAA! WAAA! WAAA! that followed. At first I thought the building was on fire. The sound went on. Apparently this was part of the program, but man, it felt like my tubecraft had been put on missile lock by an enemy MiG.
The tech checked in with me every once in a while through the headphones. “Doing okay, Christa?” “Yep.” My cheekbones were a little sore from being pressed into the donut. The tech warned me that she was about to inject the contrast dye into my IV and I asked if I could move my head. She said the picture would be better if I didn’t move at all. So I didn’t. The dye felt a little bit cool as it went in, but not uncomfortable.
THUNK THUNK THUNK WAAA! WAAA! WAAA!
I had ten seconds of a panicky feeling, but pushed it back down. I imagined I was in a cool little deep sea submersible watching peaceful sealife swim around. The whole thing took almost an hour. I’m REALLY glad I had that Xanax. Finally, they had the images they needed, so they slid me out, took out the IV and sent me back to the dressing room. The assistant said that the radiologist would review the pictures and talk to my doctor and I would have some results in 24 hours.
So, I was quite pleasantly surprised to have a phone message from a nurse in Dr. Boobcutter’s office (I call her Buffy because she’s the Cancer Slayer) this morning. I’d planned on waiting all day. I returned her call and she walked me through the MRI results. They were not what I was expecting to hear:
- There’s an “enhancement” in my left boob. The good boob. This is something that’s not on the mammogram.
- One of the lymph nodes in my right boob (the bad one) looks “suspicious.”
- Turdy the tumor looks bigger.

So here’s what they want to do next:
- Do an MRI-guided biopsy on the whatever-it-is in my left boob. Does that mean they’re going to stick a needle in my tit while I’m in that tube? Good luck with that, doc. Beware the missile-lock alarm.
- Ultrasound the dodgy-looking lymph node and possible biopsy it.
- Take another look at Turdy. Though, if I’m going to have chemo BEFORE surgery, we can probably skip that part. Seriously, we know he’s made of cancer and we know he’s an aggressive little fucker. Howzabout we stop poking him and start getting him the fuck out of my body? Cut him, nuke him, fart in his general direction. I don’t give a shit, but let’s do SOMETHING to him.
So. Yeah. Not great news, but none of this is crazy bad news either. This all falls well within the normal limits of early-stage breast cancer. This is not the time to panic, and things are moving swiftly again. I have an appointment with Dr. Cappuccino the oncologist on Thursday to discuss the chemo plan. Buffy is scheduling the MRI (for my left boob) and ultrasound (for the lymph node in my right boob). Things are happening.
In the midst of all this waiting and yucky shit though, I have been overwhelmed with kindness and concern. Friends far and near have reached out to offer encouragement and an ear. And I don’t just mean geographical far. I’ve heard from high school friends and ex-boyfriends and people I worked with long ago. They’ve offered support and help. Friends have sent me cards and flowers and Starbucks cards and books and one dear friend who has been through cervical cancer sent me a big bag filled with socks and a blanket and a journal and manicure kit–all to keep me occupied and cozy during chemo. Local friends have offered to babysit, cook dinner, drive my ass around and bring me a pitcher of sangria. I feel so loved and supported it’s hard to describe. I’m so grateful.


Was “picture of sangria” a typo? Cause I think a pitcher would be better, unless you can’t have any alcoholic things for a few days around surgeries.
Yes typo. I’ll fix
I also came here to say that. Was preparing myself to bombard you with Google images pictures of sangria. π
Rooting for girl!!
Rooting for YOU, girl!!!
Trixie, how courageous of you to come out in the open about it. It took me 2.5 to write about my brain tumour for the first time (and to tell my mom about it).
It is a blessing that it has been discovered in the early stages! It was the same with my mom and the brave woman has been cancer free for almost 9 years.
You are in my thoughts and prayers. There is little I can do from Belgium, but here I am. I am a Reiki practitioner. If you allow me, I can send you energy.
Wishing you all the best! β€
Thank you Debbie! And I’m glad you decided to let people know about your own journey. π